Blog

ステージDの僧帽弁閉鎖不全症に対して僧帽弁形成術を行った1例

■ 症例紹介

  • 犬種:チワワ

  • 年齢:7歳

  • 性別:去勢雄

  • 主訴:夜間の呼吸困難

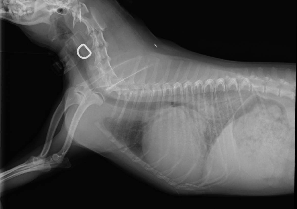
本症例は、重度の呼吸困難を主訴に来院しました。検査の結果、心原性肺水腫と診断されました。

■ 来院時の状態

来院後すぐに利尿薬および強心薬による治療を開始しましたが、呼吸状態は急速に悪化し、挿管管理が必要となりました。

高用量の利尿薬を必要とし、内科治療のみでは肺水腫を繰り返す状態であり、ACVIMステージDの粘液腫様変性性僧帽弁疾患(MMVD)と判断しました。

ステージDは、標準的な内科治療に反応しない重度心不全の段階であり、予後は一般的に厳しく余命数ヶ月とされています。

■ 検査所見

心臓超音波検査では、

  • LA/Ao:2.70

  • LVIDDN:2.37

  • 重度僧帽弁逆流

を認め、左房・左室ともに著明な拡大が確認されました。

■ 治療方針

内科治療のみでの長期的な安定は困難と判断し、外科的治療(僧帽弁形成術)を選択しました。

ステージDだから手術ができない、というわけではありません。
全身状態や併発疾患の有無を慎重に評価したうえで、外科治療は重要な選択肢となります。


■ 手術

人工心肺下で僧帽弁形成術を実施しました。

  • 人工腱索再建:9本

  • 弁輪縫縮

  • 心停止時間:約110分

手術前には広範囲の弁逸脱を認めましたが、逆流テストにて逆流の消失を確認し、人工心肺から安定して離脱することができました。


■ 術後経過

術後経過は良好で、大きな合併症は認められませんでした。

術後1か月:

  • 僧帽弁逆流は消失

  • LA/Ao:1.43

  • LVIDDN:1.62

 

術後3か月:

  • LA/Ao:1.29

  • LVIDDN:1.40

心拡大は明らかに改善し、内服薬はすべて中止となりました。

術後6か月現在も、臨床徴候なく安定しています。

 

 

手術前

 

手術後

 

手術前

 

手術後

■ まとめ

ステージDの僧帽弁閉鎖不全症は、確かにリスクの高い状態です。

しかし、適切な評価とタイミングがあれば、外科的治療によって救命し、長期的な安定を得られます。

「手術は無理かもしれない」と言われた症例であっても、選択肢が残されている場合があります。

当院では、内科治療と外科治療の両面から最適な治療方針をご提案しています。
まずはご相談ください。